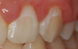
This decay is often referred to as white spot lesions which affects, according to a 2015 meta-analysis, nearly 70 per cent of people fitted with orthodontic braces*.
The problem areas are around the edges of the retaining brackets where plaque accumulates. Because of the wires and brackets it is difficult to keep the teeth clean. This results in many patients ending up with straight teeth after orthodontics but with blotchy marks that can affect their willingness to smile and reduce their self-confidence. This discolouration takes many months or even years to disappear.
New bioactive bonding adhesive
The new bioactive bonding adhesive differs from the currently used materials by continuously releasing fluoride, calcium and phosphate to form fluorapatite. Fluorapatite will remineralise adjacent tooth surfaces and also reduce plaque formation around the orthodontic bracket, reducing the risk of initial decay seen as a chalky surface on the tooth enamel.
Professor Robert Hill at Queen Mary University of London said: “This is a significant breakthrough which will benefit all those wearing orthodontic braces” explained. The research we undertook is an extension of the technology we developed with BioMin Technologies when developing BioMin F toothpaste and this adhesive prevents the development of unsightly white spot lesions around the brackets.”

White spot lesions
High demand
Braces are very popular, with more than 200,000 children and adults in England and Wales starting orthodontic treatment last year. They allow the wearer to have an attractive, confident smile, bite correctly, eat more comfortably, and to care for their teeth and gums more effectively. In the USA, over four million people are wearing braces, of which 25 percent are adults.
Professor Robert Hill added: “This new special adhesive includes a much lower sodium content than that used in BioMin F toothpastes so it reacts, rather than dissolves. Our latest research shows the adhesive forms protective fluorapatite - the fluoride analog of tooth mineral – around the brackets. We hope to see the first commercially available product within two years.”
The research is published in the journal Dental Materials.
More information: