- WHRI
- Latest News
- News
News
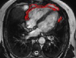
Drug that targets immune cells shows potential as new treatment for diabetic heart disease
27 February 2026
Researchers from Queen Mary University of London have found that a medication originally developed for glycemic control can reverse serious heart damage — not by controlling blood sugar as originally intended, but by retraining the immune system to protect the heart from within.
High-risk patients account for 80% of post-surgery deaths
25 February 2026
Large UK-wide study shows that high-risk patients account for nearly 80% of post-surgery deaths, highlighting the need for open conversations and more tailored care.
New study warns of alarming decline in high blood pressure control in England
27 November 2025
A comprehensive new analysis by researchers at Queen Mary University of London warns that England has lost the substantial gains made in high blood pressure prevention, diagnosis and management during the 2000s.
Queen Mary scientist awarded ‘Lombard Nobel’
8 November 2025
Professor Sir Mark Caulfield, Queen Mary University of London’s Vice Principal for Health, has been awarded the Lombardy Research Prize 2025.
Queen Mary researcher recognised in BHF’s annual science image competition
4 November 2025
A dramatic image taken by a Queen Mary University of London scientist has been recognised as one of the top entries in the British Heart Foundation’s annual ‘Reflections of Research’ competition.
Queen Mary grants exclusive patent license to Salt Hill to advance novel Treg activation technology
27 October 2025
The technology opens the door to developing a wide range of new treatments for autoimmune and inflammatory diseases.
First meeting marks launch of Europe-wide Resolution Biology network coordinated by Queen Mary University of London
24 October 2025
On Thursday 16 October 2026, the first management committee meeting of a new Europe-wide research consortium was held in Brussels at the offices of the European Cooperation in Science and Technology (COST), marking the official start of this ambitious initiative. The meeting was hosted by COST and is coordinated by Queen Mary University of London.
AIRA Science Day 2025
9 September 2025
On 4th September we were delighted to host the first AIRA Science Day 2025, bringing together more than 35 participants, including scientists, patients and members of the public, to share ideas and experiences ensuring the research lead by our scientists aligns with patients’ and societal needs.
Living in the most polluted areas increases risk of heart failure by a quarter
9 September 2025
People living in the UK’s most polluted neighbourhoods could be 27% more likely to develop heart failure, according to new research led by Queen Mary University of London.
Queen Mary researchers recognised at European Society of Cardiology Congress 2025
1 September 2025
Researchers from Queen Mary University of London’s Centre for Advanced Cardiovascular Imaging, part of the William Harvey Research Institute, were recognised in the prestigious international Young Investigator Awards at this year’s European Society of Cardiology (ESC) Congress in Madrid (29 August – 1 September).
WHRI welcomes the next generation of scientists to Charterhouse Square
21 July 2025
From 16–17 July 2025, the William Harvey Research Institute (WHRI) at Queen Mary University of London opened its doors to 28 Year 12 and 13 students for its annual Work Experience Programme. The scheme has welcomed more than 480 aspiring scientists, doctors, and healthcare professionals since its launch in 2017.
New drug offers hope of cure for hormone-driven high blood pressure
14 July 2025
The commonest single cause of high blood pressure can be reversed with a new class of medicine, according to results from a clinical trial led by Queen Mary University of London.
New understanding of how red blood cells are created could make artificial blood easier to make
4 July 2025
Studies undertaken by researchers at Queen Mary and University of Konstanz have identified a critical chemical signal in the development of red blood cells. The discovery will help make the manufacture of artificial blood more efficient.
New drug tackles uncontrolled hypertension caused by aldosterone dysregulation
1 July 2025
Results from a clinical trial of a novel aldosterone synthase inhibitor, lorundrostat, found it significantly reduces systolic blood pressure in adults with uncontrolled hypertension (uHTN) or resistant hypertension (rHTN).
WHRI Annual Research Review 2025
26 June 2025
On Wednesday 25 June we celebrated the achievements of our researchers at the WHRI Annual Research Review.
Barts and Queen Mary Science Festival 2025
25 June 2025
The Barts and Queen Mary Science Festival returned to Queen Mary University of London on 24 June 2025, welcoming secondary school students aged 14 and over to the Derek Willoughby Lecture Theatre at Charterhouse Square for a day of science and medicine.
2025 BSCR Autumn Meeting: Frontiers in Cardiovascular Research
18 June 2025
The 2025 British Society for Cardiovascular Research (BSCR) Autumn Meeting, 'Frontiers in Cardiovascular Research’, will take place at William Harvey Research Institute, Faculty of Medicine and Dentistry, Queen Mary University of London, on the Charterhouse Square campus.
Queen Mary Emeritus Professor awarded CBE in King’s Birthday Honours
16 June 2025
Professor Tilli Tansey recognised for her contribution to medical history and science.
Largest twin study explores whether the environment affects people differently depending on their genes
10 June 2025
An international team including researchers from Queen Mary have identified genetic factors that may make some individuals more or less sensitive to the environments they experience.
Embracing inclusivity in health research
4 June 2025
Queen Mary University of London to lead EU-wide Resolution Biology network
2 June 2025
Queen Mary University of London will lead a new European research initiative, following the successful award of a highly competitive grant from the European Cooperation in Science and Technology (COST) framework.
New injection could help millions with high blood pressure
29 May 2025
Results from a clinical trial led by researchers from Queen Mary University of London, published yesterday in JAMA, show that giving people with high blood pressure an injection every six months can lead to a meaningful, sustained reduction in their blood pressure.
Professor Morris Brown elected as Fellow of the Royal Society
20 May 2025
Professor Morris Brown MD FRCP FMedSci FRS has been elected to the Fellowship of the Royal Society, the UK’s national academy of sciences. He is one of 90 outstanding scientists from the UK and internationally who have joined the prestigious body this year.
Queen Mary and Research Grid collaboration trials AI technology to improve efficiency in clinical trials
12 May 2025
A project led by Queen Mary University of London, in partnership with Research Grid, Barts Health NHS Trust and the Royal Academy of Engineering, has successfully trialled a new AI-driven approach to automate clinical trial data entry, that could dramatically reduce the time and cost of running clinical trials.
Professor Sir Mark Caulfield elected member of the Medical Research Council
2 April 2025
Professor Caulfield, Professor of Clinical Pharmacology and Vice-Principal (Health) at Queen Mary, joins twelve other senior figures from health, science, and medicine on the Council.
Testing patients for just three genes could help prevent three quarters of avoidable side effects of certain medications
28 March 2025
A new study from Queen Mary University of London found that 9% of all adverse drug reactions (ADRs) reported to the UK medicines regulator are associated with medications where side effect risk is partly dependent on patient’s genes. Of this subset of ADRs, 75% were associated with only three genes that impact how the body processes medication. Genetic testing before prescribing could therefore help avoid ADRs in these cases.
Underfunding may contribute to higher mortality for patients in Latin America receiving surgery
27 March 2025
An international study of the health outcomes of people receiving surgery across 17 Latin American countries found 1 in 7 developed significant complications leading to longer hospital stays and a greater risk of death.
An international study of acute hospitals across Africa found a large and neglected burden of critical illness, and a high incidence of preventable deaths due to issues with the provision of basic critical care.
New adrenal stem cell marker may improve diagnosis and treatment of adrenal cancer
4 March 2025
A large international study led by researchers at Queen Mary University of London has identified a new biomarker that could support the diagnosis and treatment of adrenal cancer.
From height to health: largest global genetic study reveals hidden risks and benefits linked to stature
3 March 2025
New genetic links have been discovered between genetically-predicted height and an individual’s likelihood of developing a range of diseases and conditions. These new data could help improve early diagnosis and risk monitoring for patients.
Landmark study finds 69 previously unidentified genetic determinants of rare disease
27 February 2025
The breakthrough research led by Queen Mary University of London uses a new analytical approach for identifying the genetic basis of rare diseases, which could diagnose more cases and help develop new treatments for patients.
Almost 90% of people would agree to genetic testing to tailor medication use, survey finds
20 February 2025
- New research shows almost 90% of people in England would agree to genetic testing to get the most effective medication and reduce the risk of side effects
- 85% thought that the NHS should offer pharmacogenomic testing to people with multiple health conditions
- 58% of people thought that the NHS should offer this testing to everyone
- 91% wanted access to their own pharmacogenomic data, with many wanting this via the NHS app
New treatment offers quick cure for common cause of high blood pressure
10 February 2025
A revolutionary new treatment called Targeted Thermal Therapy (Triple T) offers a safer, faster alternative to surgery for patients with high blood pressure caused by Primary Aldosteronism, a hormonal disorder.
Professor Steffen Petersen awarded 2025 SCMR Gold Medal for excellence in cardiovascular medicine
3 February 2025
Steffen Petersen, Professor of Cardiovascular Medicine at Queen Mary University of London, has been honoured with the Society for Cardiovascular Magnetic Resonance (SCMR) Gold Medal Award. This prestigious recognition celebrates his outstanding contributions to the field of Cardiovascular Magnetic Resonance (CMR). Professor Petersen received the award on January 31, 2025, at the SCMR annual conference held in Washington, DC.
The MDR-RA (Multi-Drug Resistance in Rheumatoid Arthritis) project, with a total budget of €8.4 million, is funded by the European Union under the Horizon Europe programme and the Swiss State Secretariat for Education, Research, and Innovation.
New study shows AI can improve thyroid cancer diagnosis with artificially created images
7 January 2025
Researchers at Queen Mary University of London have found a new way to improve the accuracy of thyroid cancer diagnoses using artificial intelligence (AI). The study used a special type of approach, called Generative Adversarial Networks (GANs), to create realistic images of thyroid tissue samples. These fake images were then used to train AI systems to better detect cancer pathologies in real-life samples, potentially leading to more accurate diagnoses.
Doctors warn against fluid therapy approach in surgery after global trial
6 January 2025
A major study aiming to improve outcomes from higher risk operations has ruled out a fluid therapy approach during surgery.
WHRI researchers among world's most highly cited for 2024
21 November 2024
Researchers from William Harvey Research Institute at Queen Mary University of London have been recognised for ranking in the top 1% by citations in their field for 2024.
New research shows relationship between heart shape and risk of cardiovascular disease
14 November 2024
A new multi-national study has revealed that the shape of the heart is influenced in part by genetics and may help predict the risk of cardiovascular diseases.
Professor Sir Mark Caulfield receives Stokes Medal for outstanding contribution to cardiovascular disease
25 October 2024
Professor Sir Mark Caulfield, VP Health at Queen Mary University of London, received the Irish Cardiac Society Stokes Medal on Friday, recognising his outstanding contribution to cardiovascular disease throughout his career.
New study finds more people at risk of hereditary heart disease
28 August 2024
More people in the UK are at risk of a hereditary form of cardiac amyloidosis, a potentially fatal heart condition, than previously thought, according to a new study led by researchers at Queen Mary University of London and University College London (UCL).
Covid-19 had a significant impact on blood pressure recording, but not on blood pressure control
15 August 2024
An analysis of GP records for people with hypertension reveals that the pandemic had a major effect on whether or not their blood pressure was recorded, but only a modest effect on whether or not it was controlled.
University of Oxford, Queen Mary University of London, and Genomics England publish new haplotype reference panel for UK Biobank
14 August 2024
The new, more accurate panel has helped to identify several new rare-variant associations for tested traits, using data collected by Genomics England.
Breakthrough heart MRI technique accurately predicts heart failure risk in general population
13 August 2024
New research looking at more than 39,000 UK biobank participants found those with higher heart pressure estimated by Magnetic Resonance Imaging (MRI) were five times more likely to develop heart failure.
Dr Silvia Fanti awarded prestigious British Heart Foundation Fellowship for research on Arrhythmogenic Cardiomyopathy
8 August 2024
Dr Silvia Fanti from Queen Mary University of London (QMUL), has been awarded the prestigious Immediate Postdoctoral Basic Science Research Fellowship by the British Heart Foundation (BHF). This award will support Dr Fanti over 4 years, on a project investigating the role of adaptive immunity in Arrhythmogenic Cardiomyopathy (ACM).
New review calls for further research on the way endocrine function is impacted by global temperature changes
5 August 2024
The research discusses the impact of climate change on the systems that facilitate physiological adaptations to heat exposure.
Professor Steffen Petersen has been appointed as interim Director of the BHF Data Science Centre
2 August 2024
Professor Steffen Petersen has become interim Director of the BHF Data Science Centre at Health Data Research UK. Professor Petersen takes over from founding Director Professor Cathie Sudlow.
Professor Rajesh Thakker awarded OBE in King’s Birthday Honours
11 July 2024
Queen Mary University of London is delighted to congratulate Professor Rajesh Thakker, who has been recognised with an OBE for services to medical science and to people with hereditary and rare disorders in the 2024 King’s Honours list.
WHRI Annual Research Review 2024
27 June 2024
On Wednesday 26 June we celebrated the achievements of our researchers at the WHRI Annual Research Review.
The Connect Immune Research initiative, is a charity partnership, which includes Versus Arthritis, JDRF, and the MS Society among its many partners. The initiative aims to understand how autoimmune diseases are linked and to explore how best to tackle multiple conditions simultaneously.
Professor Morris Brown honoured with 2024 Laureate Award from Endocrine Society
17 June 2024
Morris Brown, Professor of Endocrine Hypertension at Queen Mary University of London, has been named one of 14 leading endocrinologists to receive the prestigious 2024 Laureate Awards, the top honours in the field.
Professor Amrita Ahluwalia elected as Fellow of the Academy of Medical Sciences
21 May 2024
Amrita Ahluwalia, Professor of Vascular Pharmacology and Dean of Research for the Faculty of Medicine and Dentistry at Queen Mary University of London, is one of 58 exceptional biomedical and health scientists elected by the Academy to its prestigious Fellowship.
New cardiac research will save women’s lives by improving detection of heart failure
15 May 2024
An important new study involving researchers from Queen Mary University of London has advanced how heart failure is detected in women – meaning more female patients can be diagnosed at an earlier stage.
Research finds genetic variation that could lead to increased risk of viral infections
9 May 2024
A new study, led by Jesmond Dalli, Professor of Molecular Pharmacology at Queen Mary University of London, has found that people with a genetic mutation which leads to a reduction in a protein called LGR6, found on the surface of immune cells, have a decreased ability to clear viral infections.
Researchers identify over 2,000 genetic signals linked to blood pressure in study of over 1 million people
30 April 2024
The Queen Mary-led study reveals the most detailed picture yet of genetic contributors to blood pressure. The findings lead to improved polygenic risk scores, which will better predict blood pressure and risk for hypertension.
Celebrating International Day of Immunology: Q&A with Professor Sian Henson
29 April 2024
International Day of Immunology, observed annually on April 29, is dedicated to increasing global awareness of the importance of immunology for health and wellbeing. This year's theme is focused on the science of ageing and immunology.
To mark the day we spoke to Sian Henson, Professor in Immunology at the Centre for Translational Medicine and Therapeutics, William Harvey Research Institute, Queen Mary University of London.
The study showed significant reductions in blood pressure across three independent cohorts, with encouraging safety profiles. Zilebesiran aims to address treatment gaps in hypertension management and offers the potential for biannual dosing.
Researchers propose guidance for improving mental wellbeing among healthcare professionals
10 April 2024
Researchers at Queen Mary University of London have proposed a multi-pronged approach to support the mental wellbeing of healthcare professionals in the UK and globally.
Analysing the evidence: an interview with Professor Amrita Ahluwalia
10 April 2024
In this interview, Professor Ahluwalia discusses her role in analysing some of the evidence collected during a police investigation into the use of a legal chemical to assist suicide.
Secrets of the naked mole-rat: new study reveals how their unique metabolism protects them from heart attacks
27 March 2024
This unusual, subterranean mammal with extreme longevity shows genetic adaptations to low oxygen environments which could offer opportunities for advancing other areas of physiological and medical research in humans.
Success for WHRI at the FMD Staff Awards 2024
8 March 2024
The FMD Staff Awards, hosted by the Faculty of Medicine and Dentistry (FMD) at Queen Mary University of London, recently took place at the Barbican Conservatory. The event proved to be a huge success for the William Harvey Research Institute (WHRI), as staff secured an impressive total of five awards.
Professor Li Chan named winner of 2024 European Journal of Endocrinology Award by the European Society of Endocrinology
27 February 2024
The European Society of Endocrinology (ESE) announced that the 2024 European Journal of Endocrinology (EJE) Award has been awarded to Professor Li Chan.
Queen Mary part of innovative project using AI to create personalised therapies for heart patients
20 February 2024
The project will develop personalised treatment for heart patients, using their own genetic and other medical information.
New study explores the genetic links between thyroid function, borderline personality disorder and schizophrenia
16 February 2024
In a new study, published in Borderline Personality Disorder and Emotion Dysregulation, Springer Nature, researchers from Queen Mary University of London investigate the association between genetics, thyroid function, and mental health disorders.
A new study published in the Journal of the American Heart Association shows that personalising the dose of amlodipine using novel doses can improve blood pressure (BP) control and achieve high adherence in participants measuring their BP at home.
Study finds new treatment to reverse inflammation and arterial blockages in rheumatoid arthritis
5 February 2024
Researchers from Queen Mary University of London have found that the molecule RvT4 enhances the body’s natural defences against atherosclerosis (hardening of the arteries) in patients with rheumatoid arthritis.
Queen Mary researchers win PPEF Silver Jubilee Award to investigate best physiotherapy practice for common musculoskeletal conditions
24 January 2024
Researchers from the Centre for Sports and Exercise Medicine at Queen Mary University of London, have been awarded a £500,000 grant from the Private Physiotherapy Educational Foundation (PPEF) for an innovative 3-year research programme. The project aims to integrate research, education, and innovation to define and disseminate best practice for common musculoskeletal conditions.
Professor Amrita Ahluwalia among world's most highly cited researchers
17 November 2023
Researchers from Queen Mary University of London have been recognised for ranking in the top 1% by citations in their field for 2023.
NIHR Barts BRC and CRF MSK programme celebrates EULAR Centre of Excellence Award
17 November 2023
The NIHR Barts Biomedical Research Centre (BRC) and NIHR Barts Clinical Research Facility (CRF) marked a key moment on Tuesday November 7th at the Graduate Centre, Mile End Campus, as they celebrated the inclusion of Musculoskeletal (MSK) research into the BRC programme and recognised the newly awarded EULAR Centre of Excellence status.
World Pancreatic Cancer Day: research reveals molecules that alter the disease’s spread
16 November 2023
This World Pancreatic Cancer Day, researchers at the Barts Cancer Institute (BCI) and the William Harvey Research Institute at Queen Mary University of London have published findings that could offer new possibilities for early diagnosis and treatment of pancreatic cancer. The scientists discovered that cells neighbouring the tumour produce a class of molecules called SPMs, which may alter how aggressive the disease is. These insights shed new light on how we might tackle this challenging cancer type. This work was made possible thanks to funding from Barts Charity and the Pancreatic Cancer Research Fund.
New injection-based treatment reduces high blood pressure
13 November 2023
A new study led by researchers from Queen Mary University of London and Barts Health NHS Trust shows a novel drug called Zilebesiran given as injection under the skin once every three or six months, successfully reduces high blood pressure (hypertension).
Trust is the most important factor for British South Asians when taking part in genetic research to tailor medications
1 November 2023
A study led by Dr Emma Magavern from the Centre of Clinical Pharmacology and Precision Medicine at Queen Mary University of London has gathered detailed insights from the British South Asian community that could lead to more successful implementation of genetic testing to help tailor the use of routine medications.
Researchers identify a receptor that allows killer T lymphocytes to work - Potential for diabetes and immune disorder treatments
26 October 2023
A new study led by researchers at Queen Mary University of London, published in the journal Nature Metabolism, has uncovered a receptor that plays a crucial role in enabling killer T lymphocytes to function effectively.
Improving the diagnosis and treatment of growth disorders in children
28 September 2023
Growth is a strong indicator of health and well-being in children, but delays in the diagnosis of growth disorders are common in the UK. We spoke to Helen L. Storr, Professor of Paediatric Endocrinology at Queen Mary University of London, about her research on growth disorders in children.
Women given new insight into blood clot risk
19 September 2023
New research from Queen Mary University of London, published in iScience, shows an increased risk of blood clots in women who have any combination of a particular gene mutation, oestrogen use, or common medical conditions – specifically: obesity, high blood pressure, high cholesterol, and kidney disease.
Unlocking the genetic mysteries of blood pressure: new research identifies potential causal genes and drug targets
8 September 2023
Scientists from Queen Mary University of London and Universities of Manchester, Zaragoza and Oxford, have revealed the genetic underpinnings of blood pressure regulation, offering hope for more effective treatments and preventative measures for hypertension.
Experimental Medicine and Rheumatology awarded European Centre of Excellence status
23 August 2023
The Centre for Experimental Medicine and Rheumatology (EMR) at Queen Mary University of London has been honoured with the highly prestigious EULAR Centre of Excellence award in recognition of its outstanding contributions to the field of rheumatology and dedication to improving patient care.
Genetic study shows that common medication used to prevent heart attacks may be ineffective for majority of British South Asians
21 August 2023
A new study by researchers at Queen Mary University of London has found that a commonly prescribed medication used to prevent heart attacks is much less likely to benefit people of Bangladeshi and Pakistani ancestry, compared to people of European descent.
Professor Morris Brown honoured by the Endocrine Society
17 August 2023
Morris Brown, Professor of Endocrine Hypertension at the William Harvey Heart Centre at Queen Mary University of London, will be honoured by the Endocrine Society as one of the 14 winners of its prestigious 2024 Laureate Awards.
New research highlights inequities in blood pressure control
11 August 2023
A study of adults diagnosed with persistent high blood pressure (hypertension) has found that people who are younger or of Black ethnicity are less likely to have their blood pressure successfully controlled. This puts them at increased risk of heart attack and stroke.
Genetic study of British South Asians challenges previous work linking statin use to increased cataract risk
7 July 2023
New research, led by Queen Mary University of London, has unpicked the threads linking statin use, ethnicity and the risk of developing young-onset cataracts in British people with South Asian ancestry.
New gene discovery in girls with central precocious puberty offers hope for diagnosis and treatment
5 July 2023
Analysis of international data from girls with idiopathic central precocious puberty helped researchers identify a genetic variant associated with the neurodevelopmental condition, Rett syndrome.
WHRI announces winners of 2023 Annual Research Review Image Competition
27 June 2023
William Harvey Research Institute at Queen Mary University is proud to announce the winners of the 2023 Annual Research Review Image Competition. This competition, which showcases the photography skills of staff and students, attracted a diverse range of captivating science and non-science related images.
WHRI Annual Research Review 2023: Showcasing cutting edge-research and recognising excellence
26 June 2023
William Harvey Research Institute at Queen Mary University of London recently hosted the Annual Research Review at the Derek Willoughby Lecture Theatre, Charterhouse Square on Wednesday 23rd June.
Barts and Queen Mary Science Festival returns to Charterhouse Square
23 June 2023
The Barts and Queen Mary Science Festival is an engaging event for secondary school pupils interested in science and medicine.
New evidence supports sex-specific strategies to prevent heart attack and stroke
15 June 2023
An observational study led by researchers at Queen Mary University of London has found that the influence of risk factors for heart attack and stroke vary significantly between women and men.
Professor Márta Korbonits honoured with 2023 Laureate Award from Endocrine Society
15 June 2023
Márta Korbonits, Professor in Endocrinology and Metabolism at Queen Mary University of London has been selected to receive the prestigious Gerald D. Aurbach Award for Outstanding Translational Research from the Endocrine Society. This annual Laureate Award recognizes outstanding contributions to research that accelerate the transition of scientific discoveries into clinical applications.
Cause and cure discovered for common type of high blood pressure
12 June 2023
Clinicians at Queen Mary University of London and Barts Hospital have identified a gene variant that causes a common type of hypertension (high blood pressure) and a way to cure it, new research published in Nature Genetics shows.
New study identifies the key role Neuropilin-1 plays in the prevention of cardiovascular disease
23 May 2023
Research from Queen Mary University of London, published today in the journal Science Signaling, provides new insights into the prevention of cardiovascular disease by shedding light on the previously unknown role of the protein Neuropilin-1.
Previous cancer linked to long term heightened risk of cardiovascular disease
21 April 2023
UK Biobank study suggests a greater risk for blood and breast cancer survivors.
An immunological basis of chronic widespread pain in fibromyalgia
19 April 2023
In a new study researchers from Queen Mary University of London demonstrate that neutrophils cause chronic widespread pain in fibromyalgia.
Queen Mary researcher receives major funding award
30 March 2023
Philip Eaton, Professor of Cardiovascular Biochemistry at Queen Mary University of London, has been awarded €2.5 million by the European Research Council (ERC) to help tackle cardiovascular disease.
Largest ever genetic study of QRS-T angles may improve risk prediction for cardiovascular disease
14 March 2023
A team of international researchers have performed the largest genetic analyses to date of electrocardiogram (ECG) measures associated with cardiovascular disease.
Study reveals how changes in workplace support and leadership training can improve mental health and reduce burnout in healthcare professionals
28 February 2023
Amongst healthcare professionals, the feeling of being supported in the workplace can protect them against adverse mental health and burnout, according to a new study published in CMAJ Open by researchers at Queen Mary University of London and medical staff at various hospitals across the UK.
Review calls for a refreshed look at clinical approach to heart muscle disorder
9 February 2023
A global review of left ventricular non-compaction has called for future efforts to better understand the features of excessive trabeculation in the heart.
UK’s first Semmelweis statue unveiled at the Faculty of Medicine and Dentistry, Queen Mary University of London
18 January 2023
Queen Mary University of London and Embassy of Hungary in London mark the 204th birthday of Hungarian obstetrician responsible for identifying the cause of puerperal fever.
Ten-minute scan enables detection and cure of the commonest cause of high blood pressure
16 January 2023
Doctors at Queen Mary University of London and Barts Hospital, and Cambridge University Hospital, have led research using a new type of CT scan to light up tiny nodules in a hormone gland and cure high blood pressure by their removal. The nodules are discovered in one-in-twenty people with high blood pressure.
Professor Amrita Ahluwalia appointed as the new Dean for Research
15 December 2022
New study sheds light on how and why congenital heart diseases occur in the womb during pregnancy
13 December 2022
Researchers find that inflammation in the placenta and specifically inflammatory maternal immune cells impede normal heart development in the developing embryo, impacting the heart tissue’s function in the offspring’s adult life.
Large international study uncovers genes involved in heart disease
7 December 2022
Scientists link dozens of new genome sites to coronary artery disease risk and pioneer a powerful method for illuminating the biological roots of common disease.
Hope for first blood test to detect deadly heart inflammation
24 November 2022
£50 blood test could improve diagnosis of myocarditis and help patients get lifesaving treatment earlier.
New drug can successfully treat patients typically resistant to high blood pressure treatment
7 November 2022
A new drug called Baxdrostat has been shown to significantly reduce high blood pressure (hypertension) in patients who may not respond to current treatments for the condition, according to results from a phase II trial led jointly by a Queen Mary University of London researcher and colleagues at CinCor Pharma, USA.
Large UK Biobank study finds COVID-19 infection is linked to subsequent poor cardiovascular health
2 November 2022
Researchers from Queen Mary University of London find that people requiring hospital admission due to COVID-19 have a high risk of subsequent cardiovascular problems.
Funding boost to help develop targeted healthcare for patients in east London
14 October 2022
Barts Health NHS Trust have received £20.9 million in funding from the National Institute for Health and Care Research (NIHR), providing a major boost to their plans to tackle health inequalities and deliver pioneering, innovative healthcare to the people of east London and beyond.
Study of over 5 million people’s DNA reveals genetic links to height
12 October 2022
An international team of researchers, including experts from Queen Mary University of London and the GIANT consortium, have identified over 12,000 genetic variants that influence a person’s height.
Children and young adults with Down Syndrome four times more likely to have diabetes
4 October 2022
Children and young adults* with Down Syndrome are four times more likely to be diagnosed with diabetes, according to new research led by Queen Mary University of London and King’s College London.
Queen Mary researcher elected to join the committee of the British Society for Cardiovascular Research
3 October 2022
Congratulations to Dr Dunja Aksentijevic from Queen Mary University of London, who was recently elected to the committee of the British Society for Cardiovascular Research (BSCR).
Healthcare workers more than three times as likely to have experienced burnout during the COVID-19 pandemic
27 September 2022
Healthcare professionals working during the coronavirus (COVID-19) pandemic are up to 3.3-times more likely to be burned out compared to non-healthcare professionals, despite the rates of mental health issues being similar, according to new research led by Queen Mary University of London.
Two thirds of atrial fibrillation patients on dual-antithrombotic therapy are prescribed the medication for too long, increasing the risk of internal bleeding
15 September 2022
An observational study of people with the heart condition atrial fibrillation, published by a student of Queen Mary’s Wellcome Trust-funded PhD programme: Health Data in Practice, has found that almost 2 in 3 (65.9%) patients on dual-antithrombotic therapy (DAT) receive the treatment for more than 12 months. This is considered too long and puts the patient at increased risk of bleeding complications.
Excellence in neuroendocrinology: Márta Korbonits receives the international Rolf Gaillard Prize
7 September 2022
Queen Mary University of London is pleased to announce that Professor Márta Korbonits has received the prestigious Rolf Gaillard Prize from the European Neuroendocrine Association (ENEA).
Researchers discover new genetic loci, pathways, therapeutic targets, and relationships with cardiovascular disease based on QT interval anomalies
6 September 2022
In a new study, published in Nature Communications, researchers from Queen Mary University of London have performed the largest multi-ancestry genetic analysis to date (>250,000 individuals), for markers derived from the electrocardiogram (ECG) that capture cardiac electrical activity in the heart ventricles.
Could T-wave morphology on a single-lead ECG heartbeat help to identify people at risk of sudden cardiac death?
30 August 2022
A joint collaboration involving researchers from Queen Mary University of London, University College London (UCL) and the University of Oulu has identified T-wave morphological variations (TMV), measured from a single beat single-lead electrocardiogram (ECG), as a strong predictor of sudden cardiac death (SCD) in low- and high-risk populations.
Could a short low-intensity stimulation of the ear lower blood pressure? World’s first trial begins recruitment
24 August 2022
Afferent Medical Solutions Ltd in collaboration with researchers from Queen Mary University of London are running a clinical trial to determine if its AffeX device can reduce blood pressure by delivering a low voltage current to the specific region of the ear on a periodic basis.
William Harvey Annual Research Review 2022
30 June 2022
After two years as an online event, the William Harvey Annual Research Review returned to Charterhouse Square on Monday 27th of July.
New study reveals insights in the genetic architecture of right ventricular structure and function
14 June 2022
The study, published in Nature Genetics, provides the first large scale insight into the genetic basis for the function and structure of one of the most important parts of the heart, the right ventricle (RV).
Daily beetroot juice could help people with common heart condition
9 June 2022
A regular glass of beetroot juice can reduce signs of inflammation in blood vessels that are known to be increased in people with coronary heart disease, according to new research funded by the British Heart Foundation (BHF) and presented at the British Cardiovascular Society conference in Manchester.
Obesity linked to damaging changes in failing hearts
9 June 2022
Obesity is linked to changes in the structure and pumping action of the heart before it develops heart failure, according to research funded by the British Heart Foundation (BHF) and presented at the British Cardiovascular Society conference in Manchester.
New study links greater pericardial fat to poor cardiovascular health
6 June 2022
New research from Queen Mary University of London, published in the European Heart Journal of Cardiovascular Imaging, has shown that pericardial fat may have a role in driving structural and functional damage to the heart.
How chronic inflammation results in DNA damage and hypomethylation associated with cancer initiation
30 May 2022
A new study led by researchers at Queen Mary University of London describes how chronic inflammation leads to altered, tumour-like epigenetic state and the re-expression of ancient, gene-editing retrotransposons that induce DNA damage.
New research from Queen Mary University of London, published in Nature Medicine, has shown that molecular profiling of the diseased joint tissue can significantly impact whether specific drug treatments will work to treat rheumatoid arthritis (RA) patients.
Dr Trinidad Montero-Melendez from the William Harvey Research Institute has been awarded £72,633 from Versus Arthritis, The Lorna and Yuti Chernajovsky Biomedical Research Foundation and Connect Immune Research to develop new treatments to tackle the root of life-changing autoimmune conditions.
Researchers from Queen Mary University of London have combined evidence from 110 previous Covid-19 studies and found that unvaccinated individuals who contract the virus when they already have high blood pressure, diabetes or major heart damage are up to nine times more likely to suffer serious outcomes - including death, lung failure, admission to intensive care and kidney problems.
Scientists to trial world-first long-acting injection for high blood pressure
27 April 2022
Researchers from Queen Mary University of London have been selected by UK Research and Innovation (UKRI) to create new networks aimed at transforming ageing research in the UK.
Queen Mary team awarded funding for research project to improve post-surgical outcomes in Africa
19 April 2022
A team of Queen Mary and African researchers have successfully secured almost £3 million in funding for a new research programme led by Queen Mary’s Professor Rupert Pearse and Professor Bruce Biccard from the University of Cape Town, South Africa.
Queen Mary awarded funding for new healthy ageing networks
8 March 2022
Researchers from Queen Mary University of London have been selected by UK Research and Innovation (UKRI) to create new networks aimed at transforming ageing research in the UK.
New research in mice suggests social interactions and a sense of belonging can boost our immune system
1 March 2022
Researchers from Queen Mary University of London have found that socially housed mice have healthier immune systems than those who are socially isolated – who are more susceptible to longer term issues due to an altered immune system that comes from living alone.
Whole genome sequencing robustly detects the most common inherited neurological diseases and is adopted by healthcare
16 February 2022
Scientists have found whole genome sequencing (WGS) can quickly and accurately detect the most common inherited neurological disorders – something previously thought to be impossible – with the results supporting the use of WGS as a standard diagnostic tool within routine clinical practice.
2022 International Day of Women and Girls in Science
11 February 2022
The International Day of Women and Girls in Science recognises and celebrates the critical role played by women but also aims to promote their full and equal access to participation in science and technology communities.
This year we are showcasing the work of some of our inspiring female scientists and recent nominees of the SMD Women in Science Award. Here they tell about their research, what they are proud of, and any future plans for this research.
New study shows light-to-moderate coffee consumption is associated with health-benefits
10 February 2022
The study by Queen Mary University of London and the Budapest Semmelweis University has shown that having up to three cups of coffee a day has a protective effect on heart health. It also reduces the overall mortality rate and the risk of stroke. The results have recently been published in the European Journal of Preventative Cardiology.
Professor Sir Mark Caulfield appointed VP Health at Queen Mary and President-elect of the British Pharmacological Society
3 February 2022
The British Pharmacological Society has announced the appointment of Queen Mary University of London’s Professor Sir Mark Caulfield as its new President-elect.
Researchers investigate previously unappreciated mechanisms in the cancer protective actions of aspirin
3 February 2022
A new study involving researchers from Queen Mary University of London has identified a new role for Specialized Pro-Resolving Mediators in mediating the anti-cancer activities of aspirin. In this research Q&A, study author Professor Jesmond Dalli explains more.
Comparing preprints and their finalized publications during the pandemic
2 February 2022
A new study involving Queen Mary University of London researchers has explored how preprints compare with their published versions.
Optimising treatments for high blood pressure and cardiovascular disease could save lives, according to researchers
14 January 2022
A recent study shows that optimising medicines for high blood pressure and cardiovascular disease patients living in East London could reduce lifetime hospital costs and prevent cardiovascular events such as heart attacks and strokes.
Queen Mary alumnus thought to be the first woman of colour to complete a solo expedition across Antarctica
6 January 2022
Captain Preet Chandi, a Queen Mary University of London alumnus, travelled 700 miles in just 40 days, capping a remarkable achievement.
Risk factors for heart disease change heart structure and appearance
22 December 2021
A new study led by researchers at Queen Mary University of London suggests that certain risk factors for heart disease are linked to common changes in the structure and appearance of the heart.
More diversity improves genetic research into cardiovascular disease, according to new study
8 December 2021
A new study, co-led by Queen Mary University of London, has made the case for more diversity in genetic research.
Outstanding technician awarded Papin Prize at HETS2021
15 November 2021
A technician from the William Harvey Research Institute at Queen Mary University of London has been presented with a prestigious award which recognises excellence in academia at the UK’s only event dedicated to celebrating the success and achievements of technical staff.
Whole genome sequencing improves diagnosis of rare diseases and shortens diagnostic journeys for patients
11 November 2021
A world-first scientific study, published today in the New England Journal of Medicine, has shown that whole genome sequencing (WGS) can uncover new diagnoses for people across the broadest range of rare diseases investigated to date and could deliver enormous benefits across the NHS.
New app helps parents identify treatable childhood growth disorders earlier
9 November 2021
A new mobile phone app, ‘GrowthMonitor’, places the accurate measurement of children’s height in the hands of parents and carers.
PhD student to co-host COP26 event
2 November 2021
Nikita Patel has been selected to co-host an event at the United Nations Climate Change Conference (COP26) in Glasgow on November 4th.
WHRI research technician recognised for contribution to endocrine research
13 October 2021
A research technician from the William Harvey Research Institute at Queen Mary University of London has been shortlisted for a Papin Prize, the UK’s only award dedicated to celebrating technical excellence and innovation in higher education and research.
New model could improve treatment of rheumatoid arthritis patients with cardiac disease
16 September 2021
Researchers from Queen Mary University of London have developed a new approach to address cardiac disease in rheumatoid arthritis patients.
New study links COVID-19 genetic susceptibility with blood clots, thrombophlebitis and circulatory diseases
7 September 2021
Research led by Queen Mary University of London associates genetically predicted COVID-19 susceptibility with increased blood clot events in legs and lungs, thrombophlebitis, and circulatory diseases.
New study reveals patients from minority ethnic groups are more likely to be admitted to hospital
19 August 2021
Patients from minority ethnic groups have a disproportionately higher rate of emergency hospital admissions, according to research by Queen Mary University of London and Barts Health NHS Trust.
New insights into mechanisms of immune cell trafficking in inflammation
16 August 2021
A new study led by researchers at Queen Mary University of London has identified the intracellular catabolic recycling system, Autophagy, within endothelial cells as a new molecular mechanism to limit inflammation.
Researchers successfully identify new gene variants that cause hypertension in pregnant women
12 August 2021
An international study, led by researchers from Queen Mary University of London and St Bartholomew’s Hospital, has found a unique pair of gene variants that causes sudden onset high blood pressure in pregnant women.
UK number one position for BSc Pharmacology and Innovative Therapeutics - National Student Survey 2021
26 July 2021
The BSc Pharmacology & Innovative Therapeutics degree programme led by Dr Sadani Cooray at the William Harvey Research Institute at Barts and the London School of Medicine and Dentistry has topped the national subject leader board and is currently number one in the UK having received the highest overall ratings in the 2021 National Student Survey (NSS).
New insights into uncontrolled inflammation in COVID-19 patients
21 July 2021
Research led by Queen Mary University of London provides new insight into the mechanisms that lead to uncontrolled inflammation in COVID-19 patients.
Breakthrough into leading cause of blindness
19 July 2021
A team of scientists, including researchers from Queen Mary University of London, has discovered that the most common form of adult blindness is probably caused by a failure of at least one of five proteins to regulate the immune system.
PTH infused insulin pump used as an alternative treatment for young patients with ADH1
8 July 2021
Researchers from Queen Mary University of London and the University of Oxford have developed an alternative treatment to increase calcium levels and prevent seizures in patients with the genetic condition ADH1.
AI predicts diabetes risk by measuring fat around the heart
7 July 2021
A team led by researchers from Queen Mary University of London has developed a new artificial intelligence (AI) tool that is able to automatically measure the amount of fat around the heart from MRI scan images.
SynAct Pharma AB announces positive data from a Phase 2a trial of AP1189 in Covid-19 infected patients
1 July 2021
SynAct Pharma AB (“SynAct”) has just announced topline results from the Phase 2a clinical trial of AP1189 in Covid-19 infected patients with pulmonary insufficiency. Patients treated with 100mg AP1189 orally once-daily for 2-weeks achieved respiratory recovery (time to normalization of oxygen saturation on ambient air) on average 3.5 days (35%) quicker than placebo treated patients (6.4 days and 9.9 days on average respectively). Data from this exploratory pilot clinical trial supports that AP1189 may help Covid-19 infected patients recover impaired lung function.
First nationwide study reveals millions of cancelled operations due to COVID-19 and high risk of death
18 June 2021
The first nationwide study of the impact of COVID-19 on surgery at NHS hospitals has revealed that more than 1.5 million operations were cancelled or postponed during the pandemic and surgical patients who became infected with COVID were five times more likely to die.
Dr Zahra Raisi-Estabragh wins prestigious Royal Society of Medicine President's Gold Medal in Cardiology
18 June 2021
Congratulations to Dr Zahra Raisi-Estabragh who was recently awarded the Royal Society of Medicine (RSM) President’s Gold Medal in Cardiology in recognition of her work developing cardiovascular magnetic resonance (CMR) radiomics as a novel imaging biomarker.
Could your smart watch alert you to risk of sudden death?
8 June 2021
Scientists develop a new algorithm that could allow wearable technology to warn those at risk of dangerous heart rhythm changes.
Procedure using ultrasound energy found to treat high blood pressure
7 June 2021
A minimally-invasive procedure that targets the nerves near the kidney has been found to significantly reduce blood pressure in hypertension patients, according to the results of a global multicentre clinical trial led in the UK by researchers at Queen Mary University of London and Barts Health NHS Trust.
Ramadan fasting: recommendations for patients with cardiovascular disease
17 May 2021
A new publication led by cardiologists and researchers at the Barts Heart Centre and Queen Mary University of London has developed a framework for triaging and where possible, facilitating safe fasting in patients with cardiovascular disease.
Having a healthier heart is associated with better problem-solving and reaction time
14 May 2021
People with healthier heart structure and function appear to have better cognitive abilities, including increased capacity to solve logic problems and faster reaction times, according to research led by Queen Mary University of London and the Radcliffe Department of Medicine at University of Oxford.
Professor Munroe elected to prestigious fellowship
13 May 2021
Congratulations to Professor Patricia Munroe who has been elected to the highly prestigious Academy of Medical Sciences Fellowship.
Scientists uncover secret of the hunger switch in the brain
16 April 2021
A 3D structure reveals how a unique molecular switch in our brain causes us to feel full – and may help develop improved anti-obesity drugs.
How preprints accelerated science communication during the pandemic
8 April 2021
A new study led by Queen Mary University of London researchers has found that during the early phase of the pandemic, approximately 35 per cent of the COVID-19 scientific literature was shared as preprints – freely available manuscripts that are shared prior to peer-review in a journal.
Call for cardiovascular scientists to contribute data to multinational platform
6 April 2021
The first international platform for sharing cardiovascular data has been launched by euCanSHare, an EU-Canada funded project. Cardiovascular researchers are encouraged to use the platform to browse, deposit and analyse data.
New genetic clues point to new treatments for ‘silent’ stroke
26 March 2021
Scientists from Queen Mary University of London have helped identify new genetic clues in people who’ve had small and often apparently ‘silent’ strokes that are difficult to treat and a major cause of vascular dementia.
WHRI research funding success
19 March 2021
In the past few months, the William Harvey Research Institute at Queen Mary University of London has seen major funding success in the areas of endocrine and inflammation research.
Why the Dutch are the tallest people in the world
16 March 2021
'Humans are growing taller around the world. The average adult today is 5% taller than they were a century ago. But how tall could humans get in the future, and what can we learn from the tallest people in the world – the Dutch?'
School reopening without robust COVID-19 mitigation risks accelerating the pandemic
10 March 2021
A group of academics have set out a series of recommendations for schools to reduce the risk of COVID-19 transmission now that they have re-opened, in a letter published in The Lancet.
Having an unhealthy heart could lead to a higher risk of being diagnosed with COVID-19
9 March 2021
People with unhealthy heart structures and poorer functioning hearts have a significantly higher risk of being diagnosed with COVID-19 infection, according to research by Queen Mary University of London, in collaboration with the Medical Research Council Lifecourse Epidemiology Unit (The University of Southampton).
WHRI academic wins prestigious Wellcome Trust Career Re-Entry fellowship for research into Type 2 diabetes
25 January 2021
Dr Dunja Aksentijevic, Senior Lecturer in Cardiovascular Physiology and Metabolism at Queen Mary University of London, awarded £630,000 for examining immunometabolic cross-talk in the inflamed type 2 diabetic heart.
A new study published today in The Lancet is the first stratified, biopsy-driven, multicentre, open-label, randomised controlled trial that takes the first steps in the integration of molecular pathology into treatment decision making in Rheumatoid Arthritis.
In this Q&A Professor Costantino Pitzalis from the Centre for Experimental Medicine and Rheumatology at Queen Mary's William Harvey Research Institute explains why the R4RA trial represents the first step towards precision medicine.
Patients from Asian and black backgrounds are more likely to die from COVID-19, large study reveals
22 January 2021
Patients of Asian and black backgrounds suffered disproportionate rates of premature death from COVID-19, according to a study of 1,737 patients by Queen Mary University of London and Barts Health NHS Trust.
WHRI New Year PhD Symposium
21 January 2021
Wednesday 27th January from 1.00pm on Microsoft Teams
Herd immunity by infection is not an option
15 January 2021
In an article, published today in Science, Dr Deepti Gurdasani from Queen Mary University of London and Devi Sridhar from the University of Edinburgh explain why herd immunity by infection is not a strategy that should be considered for COVID-19.
Genes could be key to new Covid-19 treatments, study finds
14 December 2020
Potential treatments for Covid-19 have been identified after the discovery of five genes associated with the most severe form of the disease, in research involving Queen Mary academics.
No deal Brexit could have detrimental impact for four million people in UK living with a rare disease
12 December 2020
Experts have warned that a ‘no deal’ Brexit will result in the exclusion of the UK from the 24 European Reference Networks (ERNs) that were established to improve the care of patients bearing the lifelong burden of a rare disease, which require highly specialised diagnosis and treatment.
Queen Mary researcher elected as President of prestigious cardiology association
11 December 2020
Steffen Petersen, Professor of Cardiovascular Medicine at Queen Mary University of London, has been elected as President of the European Association of Cardiovascular Imaging (EACVI).
Pharmacology success for the WHRI at the Queen Mary Education Excellence Awards and President and Principal’s prize 2020
10 December 2020
We are pleased to announce that Dr Sadani Cooray from the William Harvey Research Institute (WHRI) was recognised for her outstanding contribution to pharmacology education at an online ceremony held on Tuesday 8th December.
Q&A: Repeatability of Cardiac Magnetic Resonance Radiomics: A Multi-Centre Multi-Vendor Test-Retest Study
2 December 2020
A new collaborative study involving researchers at Queen Mary University of London investigates a new image analysis toolkit for MRI scans. In this Q&A Dr Zahra Raisi-Estabragh explains how Radiomics analysis can help us to better diagnose heart disease.
The Effect of Blood Lipids on the Left Ventricle: A Mendelian Randomization Study
18 November 2020
A new study by researchers at Queen Mary University of London demonstrates that bad cholesterol has a direct causal effect in inducing heart disease.
Causal Inference for Genetic Obesity, Cardiometabolic Profile and COVID-19 Susceptibility: A Mendelian Randomization Study
13 November 2020
A new study led by researchers at Queen Mary University of London uses a novel approach to investigate the effects of cardiovascular risk factors on the risk of COVID-19 infection.
The UK needs a sustainable strategy for COVID-19
10 November 2020
As the UK’s second lockdown gets underway, a group of 79 researchers, public health professionals, and healthcare workers are calling for a sustainable public health strategy for COVID-19.
New research predicts whether rheumatoid arthritis patients will respond to treatment
27 October 2020
A new study led by researchers at Queen Mary University of London provides potential novel biomarkers for predicting patient responsiveness to disease modifying anti-rheumatic drugs (DMARDs).
Herd immunity in COVID-19 control is a ‘dangerous fallacy’, say authors of open letter
15 October 2020
A group of 80 researchers say that a so-called ‘herd immunity’ approach to managing COVID-19 by allowing immunity to develop in low-risk populations is “a dangerous fallacy unsupported by the scientific evidence”.
Queen Mary researcher recognised in the Queen’s Birthday honours
12 October 2020
Charles Knight, Professor of Cardiology at Queen Mary University of London and Chief Executive of St Bartholomew’s Hospital, has received an OBE for services to the NHS and people with heart disease in the Queen’s birthday honours.
Poor bone quality is linked to poor cardiovascular health
25 September 2020
New research by Queen Mary University of London and the University of Southampton’s Medical Research Council Lifecourse Epidemiology Unit (MRC LEU) has found associations between lower bone mineral density and worse cardiovascular health in both men and women.
Researcher awarded prestigious cardiology prize for MRI discovery
22 September 2020
Dr Nay Aung, an academic clinical lecturer at Queen Mary University of London, has been awarded the Royal Society of Medicine President’s prize for best cardiology PhD project.
ROR2 blockade as a therapy for osteoarthritis
17 September 2020
In a new study, published in the journal Science Translational Medicine, researchers from Queen Mary University of London have developed a prototype drug that can heal cartilage and simultaneously help with pain. In this research Q&A Dr Anne-Sophie Thorup from the Centre for Experimental Medicine and Rheumatology explains why the findings are significant.
Specialist centres hold key to keeping heart attack victims alive, major study shows
4 September 2020
A trial led by Queen Mary University of London and Barts Health researchers looking at the effect of stem cell therapy in treating heart attack patients has revealed the importance of specialist centres to extending life.
New molecule repairs cartilage and relieves symptoms of osteoarthritis
3 September 2020
A newly discovered molecule has been found to provide long-lasting regeneration of bone and cartilage defects, as well as symptom relief, and could potentially play a role in treating osteoarthritis, according to early research in animals led by Queen Mary University of London.
Architecture of the heart different between women and men and with age
1 September 2020
Differences in the shape and texture of men and women’s hearts could potentially explain why their risk of heart disease differs, according to research led by Queen Mary University of London.
Intracellular sodium elevation reprograms cardiac metabolism
28 August 2020
WHRI COVID Diaries: Q&A with Dr Vanessa Lowe
25 August 2020
In this Q&A WHRI researcher Vanessa Lowe shares her experience of helping with COVID-19 testing at the UK Biocentre in Milton Keynes.
Cheap diabetes drug may reverse blood vessel damage and prevent multi-organ failure
22 July 2020
A BHF funded study involving researchers from Queen Mary University of London has found that metformin-a cheap drug commonly used to treat type 2 diabetes- could be used to stop blood vessels from leaking and reverse the damage caused during sepsis and multi-organ failure.
Queen Mary BHF Accelerator Award enables Covid-19 research
16 July 2020
The British Heart Foundation (BHF) has allowed and encouraged institutions that hold Accelerator Awards (AA) to allocate currently uncommitted funds from their award to supporting Covid-19 research, at the discretion of the award director.
Success at the first-ever online WHRI Annual Review
3 July 2020
The first virtual William Harvey Annual Review took place on Wednesday 24th June 2020 on Microsoft Teams.
Higher rates of severe COVID-19 in BAME populations remain unexplained
19 June 2020
Higher rates of severe COVID-19 infections in Black, Asian and Minority Ethnic (BAME) populations are not explained by socioeconomic or behavioral factors, cardiovascular disease risk, or by vitamin D status, according to new research led by Queen Mary University of London.
Queen Mary academics win national award recognising exceptional contribution to pharmacology education
15 June 2020
Dr Sadani Cooray and Professor Nick Goulding from Queen Mary University of London have been jointly awarded the Rang Prize 2020 by the British Pharmacological Society.
Antihistamines and similar drugs could slow down Huntington’s disease
9 June 2020
Controlling dopamine signalling by targeting the histamine receptor has been shown to be a promising strategy for preventing the progression of Huntington’s disease in mice.
Scientists discover more than 200 genetic factors causing heart arrhythmias
21 May 2020
Hundreds of new links have been found between people’s DNA and the heart’s electrical activity, according to a study of almost 300,000 people led by researchers at Queen Mary University of London and the Broad Institute of MIT and Harvard.
Thirty-eight new gene regions that influence the Tpe interval, an electrocardiographic marker associated with susceptibility to malignant ventricular arrhythmias and sudden cardiac death, have been discovered in the largest genetic study to date.
The uncertainties in modelling the COVID-19 pandemic
1 May 2020
Dr Deepti Gurdasani from Queen Mary’s William Harvey Research Institute and Hisham Ziauddeen from University of Cambridge are co-authors of a correspondence piece in The Lancet Global Health which suggests there were limitations in some assumptions used in the COVID-19 pandemic models forming part of the scientific evidence considered by the UK Government. In this blog post, they explain the importance of real-world evidence being used alongside modelling to develop public health responses.
A joint international study led by researchers at Queen Mary University of London explores how variants that might be overlooked in standard analyses can be pathogenic when combined with much rarer disruptive changes.
Researchers use magnetism to keep drugs at disease sites
30 April 2020
New research from Queen Mary University of London suggests that a novel magnetism-based drug delivery approach could help ensure drugs are not removed from where they are needed in the body.
Inside the lab testing thousands of NHS samples for COVID-19
28 April 2020
Queen Mary University of London has been providing support to the UK Lighthouse Labs Network – the national COVID-19 diagnostic lab network. As well as donating a number of laboratory machines, a team of research staff have been seconded to help test thousands of samples from NHS workers every day.
Dr Neil Dufton, Lecturer in Inflammatory Sciences at Queen Mary’s William Harvey Research Institute, has been volunteering at one of the Lighthouse Labs in Milton Keynes and shares his experiences in this blog post.
Antibodies could provide new treatment for OCD
21 April 2020
Mental health conditions such as obsessive compulsive disorder could be treated in a new way using drugs that target the immune system, research suggests.
Queen Mary and Barts Health launch Covid-19 research programme
20 April 2020
Queen Mary University of London and Barts Health NHS Trust, as part of their Barts Life Sciences initiative, have begun a new programme of Covid-19 research across Barts Health hospitals, including NHS Nightingale Hospital London.
Queen Mary professor to lead new NHS Nightingale Hospital
8 April 2020
Charles Knight, Professor of Cardiology at Queen Mary University of London and Consultant Cardiologist at Barts Health NHS Trust, has been announced as the Chief Executive of the new NHS Nightingale Hospital London.
Diabetes drug reduces complications of long-term steroid therapy
26 February 2020
A drug used to treat type 2 diabetes could offer a simple and cheap solution to reduce dangerous side effects of steroid treatment, new research from Queen Mary University of London suggests.
World first in AI helps predict heart attacks and stroke
14 February 2020
Artificial intelligence has been used for the first time to instantly and accurately measure blood flow, in a new study involving researchers from Queen Mary University of London.
International team delivers research breakthrough for leading cause of blindness
7 February 2020
Researchers have identified a new protein linked to age-related macular degeneration (AMD) that could offer new hope for the diagnosis and treatment of the disease, which affects over 1.5 million people in the UK alone.
New research identifies a distinct way to control joint inflammation and arthritis
6 February 2020
In a new study, published in the journal Nature Communications, researchers from Queen Mary University of London observe that the promotion of synovial fibroblast senescence activates tissue protective mechanisms in the arthritic joint.
Queen Mary Professor in Endocrinology elected to the Hungarian Academy of Medical Sciences
5 February 2020
Professor Márta Korbonits from the William Harvey Research Institute at Queen Mary University of London was recently elected to the Hungarian Academy of Medical Sciences.
Pinpointing rare disease mutations
31 January 2020
A new study from Queen Mary University of London and EMBL’s European Bioinformatics Institute has uncovered the genes essential for supporting life, which could help researchers to identify mutations responsible for rare childhood diseases.
Researchers identify possible link between cannabis use and structural changes to heart
19 December 2019
Regular cannabis use could affect the structure and function of the heart, research led by a team at Queen Mary University of London suggests.
Success for the WHRI at the Queen Mary Education Excellence Awards and President and Principal’s prize
13 December 2019
We are pleased to announce that Dr Parjam Zolfaghari, Professor Nick Goulding and Dr Martin Carrier from Queen Mary’s William Harvey Research Institute (WHRI) were one of several winners at the Queen Mary Education Excellence Award and President and Principal's Prizes for 2019/20.
Researchers look behind the biological curtain on how fish oil might fight inflammatory disease
13 December 2019
The debate about the potential for exploiting omega-3 fatty acids to improve health has raged for years.
Cardiovascular Genomics Professor among most highly cited researchers
26 November 2019
The William Harvey Research Institute is proud to announce that Panos Deloukas, Professor of Cardiovascular Genomics, has been named in the top 0.1% of the world’s most influential researchers.
Researchers find potential new target for treatment of inflammatory disease
8 November 2019
A new joint study involving researchers from Queen Mary University of London has identified potential new targets to tackle lactate-induced chronic inflammation.
WHRI Emeritus Professor awarded Faculty of Intensive Care Gold Medal
8 November 2019
Professor Charles Hinds recognised for his exceptional contribution to intensive care medicine.
Success for WHRI at the International Conference on Bioactive Lipids in Cancer, Inflammation and Related Diseases
5 November 2019
Scientists from 21 countries travelled to St. Petersburg, Florida, USA last week to attend the 16th International Conference on Bioactive Lipids in Cancer, Inflammation and Related Diseases, which is sponsored by the Eicosanoid Research Foundation.
Researchers from the Centre for Endocrinology win 2019 EJE Readers’ Choice Award for joint study into rare disease
7 August 2019
Q&A with Dr Helen Storr, Reader and Honorary Consultant in Paediatric Endocrinology
Outstanding impact in teaching recognised in national award
5 August 2019
Professor Maralyn Druce from Queen Mary University of London has been announced as a new National Teaching Fellow by Advance HE today.
Closed Loop Medicine (CLM), the Cambridge based therapeutics company that helps doctors and healthcare providers to deliver personalised treatment regimens, has raised £1.3 million in research grant funding from the InnovateUK Innovation Accelerator, Longwall Ventures and IQ Capital. The InnovateUK Innovation Accelerator is a new scheme that enables InnovateUK to match fund a select group of company investors.
WHRI Academic voted 2019 Teacher of the Year by MBBS students
17 July 2019
We are pleased to announce that Dr Fu Liang Ng, Clinical Senior Lecturer in Clinical Pharmacology at the William Harvey Research Institute, was voted Teacher of the Year by the MBBS students for 2019.
2019 WHRI Annual Review Summary
27 June 2019
The William Harvey Annual Review took place on the 12th of June 2019 at the Derek Willoughby Lecture Theatre, Charterhouse Square.
Effects of Calcium, Magnesium, and Potassium Concentrations on Ventricular Repolarization in Unselected Individuals
25 June 2019
A new joint study involving researchers at Queen Mary University of London has identified background subclinical changes on the electrocardiogram as risk factors in cardiovascular mortality.
EMR delivers “Creating without constraint: Arthritis and art” at QMUL’s Tate Exchange
24 June 2019
The Centre for Experimental Medicine and Rheumatology (EMR) at the William Harvey Research Institute is committed to engaging with the public and has participated in the Barts and Queen Mary Science Festival for a number of years, offering children the opportunity to try gloves that simulate the effect of arthritis and to ‘see’ inside their joints using ultrasound, so when QMUL Arts and Culture asked for proposals for the 2019 Tate Exchange EMR decided to build on this and submit a project.
Genetic Risk Score for Coronary Disease Identifies Predispositions to Cardiovascular and Non-Cardiovascular Diseases
11 June 2019
A new study led by researchers at Queen Mary University has shown how genetic predisposition to coronary heart disease (including heart attacks) is genetically correlated to other diseases.
Leading genomics expert awarded knighthood in the Queen’s birthday honours
7 June 2019
Professor Mark Caulfield, the interim Chief Executive at Genomics England and Professor of Clinical Pharmacology at Queen Mary University of London, has been awarded a knighthood in the Queen’s Birthday Honours List.
Coffee not as bad for heart and circulatory system as previously thought
3 June 2019
Drinking coffee might keep us up at night, but new research has given us a reason to sleep easy knowing that the popular drink isn’t as bad for our arteries as some previous studies would suggest. The research from Queen Mary University of London has shown that drinking coffee, including in people who drink up to 25 cups a day, is not associated with having stiffer arteries.
Follow us on LinkedIn
30 May 2019
We are pleased to announce that we are now officially on LinkedIn!
DNA discovery could have implications for mitochondrial donation treatment
24 May 2019
Mitochondria, the ‘batteries’ that produce our energy, interact with the cell’s nucleus in subtle ways previously unseen in humans, according to research involving academics from Queen Mary University of London.
London heart disease patients take part in clinical trial to test alternative to statins
20 May 2019
A clinical trial, coordinated by researchers from Queen Mary University of London, is currently recruiting patients in London to see whether a new cholesterol-lowering drug could save lives in people who are intolerant to statins.
Quality Improvement in emergency surgery shows no difference in patient survival
25 April 2019
Researchers from Queen Mary University of London studied the effectiveness of one of the largest ever national quality improvement programmes in the National Health Service (NHS) and found no improvement in patient survival.
Poor lung function in shorter people linked to increased risk of heart disease
28 March 2019
Results from a study led by researchers from Queen Mary University of London has found that an association between shorter stature and higher risk of heart disease is mainly attributed to our lungs.
QMUL researchers seek treatment for arthritis as part of new EU-funded project
14 March 2019
Researchers from Queen Mary University of London are about to start work on a new EU-funded project to discover novel therapeutic targets for osteoarthritis and rheumatoid arthritis.
QMUL researchers win prestigious award for Vascular Biology publication
7 March 2019
A publication by researchers from the Centre for Microvascular Research at the William Harvey Research Institute has received the highly prestigious Servier Award in Microcirculation.
BHF invests £34m in top universities, helping to safeguard UK’s world-class research status
6 March 2019
The British Heart Foundation (BHF) has this week announced £34million of new funding across 12 universities, in a move that strengthens world-class, UK-led heart and circulatory disease research.
Working long hours linked to depression in women
26 February 2019
Women who work more than 55 hours a week are at a higher risk of depression compared to men, according to a UCL-led study with Queen Mary University of London.
Professor of Endocrine Medicine achieves recognition for Excellence in Education
22 February 2019
The winners of Queen Mary’s new scheme of annual Education Excellence Awards and President and Principal’s Prizes were announced at a ceremony on 20 February 2019.
Researcher named as one of the most inspirational women in science
15 February 2019
Professor Federica Marelli-Berg from Queen Mary University of London has been named by the British Heart Foundation (BHF) as one of the top 10 inspirational women in science.
Genomics project reaches goal of 100,000 genomes sequenced from NHS patients
6 December 2018
UK Health Secretary Matt Hancock has today announced that a project involving Queen Mary University of London researchers has reached its goal of sequencing 100,000 whole genomes from NHS patients.
WHRI researchers in top 1 per cent worldwide
27 November 2018
Three researchers from the William Research Institute have been placed in the top 1 per cent in the world, in this year’s Highly Cited Researchers list.
Research in Focus
22 November 2018
Dr Gloria Lliso-Ribera, Rheumatology Clinical Research Fellow
Professor Chris Thiemermann honoured for his contributions to science
8 November 2018
In October 2018, Chris Thiemermann, Professor of Pharmacology and Centre Lead for Translational Medicine & Therapeutics at the William Harvey Research Institute, received the prestigious Albert Nelson Marquis Lifetime Achievement Award.
Professor Márta Korbonits delivers inaugural Lady Estelle Wolfson lecture at the RCP
29 October 2018
Professor Márta Korbonits gave the Lady Estelle Wolfson lecture in translational medicine at the Royal College of Physicians on the 24th October 2018 during the Acute and General Medicine Conference.
Genetic tool to predict adult heart attack risk in childhood
10 October 2018
People at high risk of a heart attack in adulthood could be identified much earlier in life with a one-off DNA test, according to new research published in the Journal of the American College of Cardiology.
Landmark TB research announced at the UN General Assembly
27 September 2018
A landmark international research project, involving researchers from Queen Mary University of London, has shown that we can now use our knowledge of the tuberculosis (TB) genetic code to predict which drugs are best for treating a patient’s infection.
Researchers awarded for lifetime achievements in blood pressure research
24 September 2018
Two academics from Queen Mary University of London have received prestigious awards from the International Society of Hypertension (ISH) in recognition of their achievements in blood pressure research.
Study of one million people leads to world’s biggest advance in blood pressure genetics
17 September 2018
Over 500 new gene regions that influence people’s blood pressure have been discovered in the largest global genetic study of blood pressure to date, led by Queen Mary University of London and Imperial College London.
Blood pressure medications and statins found to provide long-term cardiovascular benefits
28 August 2018
Death rates from heart disease and stroke could be significantly lowered by prescribing statins alongside blood pressure-lowering drugs, according to the results from a clinical trial led by Queen Mary University of London and Imperial College London.
New research links low levels of air pollution with serious changes in the heart
3 August 2018
Researchers from Queen Mary University of London have found that people exposed to air pollution levels well within UK guidelines have changes in the structure of the heart, similar to those seen in the early stages of heart failure.
Graduation joy for WHRI Pharmacology students
30 July 2018
ESE’s Scientific Programme Chair discusses Brexit effects on European Reference Network in the UK Parliament
6 July 2018
Professor Márta Korbonits, Professor of Endocrinology at Barts and the London School of Medicine and Dentistry, Queen Mary University of London, Scientific Programme Chair of the European Society of Endocrinology, and representative of BioMed Alliance, will be discussing the effects of Brexit on the European Reference Networks (ERNs), in Westminster, Monday 9 July.
Q&A with Dr Li Chan
7 June 2018
Research paper: MRAP deficiency impairs adrenal progenitor cell differentiation and gland zonation
Surgery involving ultrasound energy found to treat high blood pressure
23 May 2018
An operation that targets the nerves connected to the kidney has been found to significantly reduce blood pressure in patients with hypertension, according to the results of a clinical trial led in the UK by Queen Mary University of London and Barts Health NHS Trust, and supported by the National Institute for Health Research (NIHR).
Lunch & Learn: Cutting Edge Studies in Autoimmune Disease
18 May 2018
Date: 1 June 2018
Time: 12:00pm
Venue: William Harvey Research Institute, Charterhouse Square Campus
A new study by researchers at Queen Mary University of London (QMUL) and University College London (UCL) has discovered 30 new gene locations that determine how the heart responds to and recovers from exercise.
Fellows inaugurated at new Rutherford Academy of Population Genomics and Health Data Science
14 May 2018
Queen Mary University of London has appointed four postdoctoral research fellows to its new Rutherford Academy of Population Genomics and Health Data Science, funded by the Medical Research Council and UK Research and Innovation’s Rutherford Fund. One of the fellows include WHRI's Dr Adriano Barbosa.
Professor Panos Deloukas elected as Fellow of The Academy of Medical Sciences
10 May 2018
Professor of Cardiovascular Genomics at Queen Mary University of London has been recognised for his outstanding contribution to genomic medicine.
Professor Gustav Born: 29th July 1921- 16 April 2018
25 April 2018
A message sent on behalf of Professor Steve Thornton, Vice Principal (Health)
Pint of Science Festival, 14-16 May 2018
13 April 2018
Pint of Science QMUL brings scientists out of the lab and in to your local pub.
Hormone imbalance causes treatment-resistant hypertension
12 April 2018
British researchers have discovered a hormone imbalance that explains why it is very difficult to control blood pressure in around 10 per cent of hypertension patients.
New project to transform treatment for children with arthritis
28 March 2018
Researchers from Queen Mary University of London will join a UK-wide effort to drive the development of new treatments for children and young people with juvenile idiopathic arthritis (JIA) and its associated eye-inflammation condition, uveitis.
Weak hand grip could be sign of a failing heart
15 March 2018
Hand grip strength could be used as a simple measure of heart health, according to new research led by scientists at Queen Mary University of London.
Menopausal hormone therapy linked to having a healthier heart
9 March 2018
Women who use menopausal hormone therapy appear to have a heart structure and function that is linked to a lower risk of heart failure, according to a study led by Queen Mary University of London.
New insights into why patients have a higher risk of heart attack in the morning
8 March 2018
Cardiovascular disease patients have lower levels of an important family of protective molecules in their blood in the morning, which could be increasing their risk of blood clots and heart attacks at those times, according to early research led by Queen Mary University of London.
Aspirin helps treat tuberculous meningitis
7 March 2018
The painkiller aspirin appears to reduce the risk of stroke and death in patients with the most deadly form of tuberculosis, according to a study by Queen Mary University of London, Oxford University Clinical Research Unit (Vietnam), Western General Hospital and University of Oxford.
A new study by researchers from Queen Mary University of London finds that small packages released by white blood cells during inflammation can be used to prevent the activation of other white blood cells.
Dr Suchita Nadkarni's 'The Placenta Rainbow' featured in National Geographic
27 February 2018
Photo by William Harvey Research Institute (WHRI) and British Heart Foundation (BHF) Research Fellow shows differences in mouse placental development that can result from manipulation of the mother’s immune system.
“Beetroot pill” could help save patients from kidney failure after heart x-ray
22 February 2018
Beetroot may reduce the risk of kidney failure in patients having a heart x-ray, according to research led by Queen Mary University of London.
£54 million award to transform health through data science
7 February 2018
Queen Mary University of London has partnered with four other London universities - UCL, Imperial College London, King's College London and The London School of Hygiene & Tropical Medicine - in a new initiative to transform health through data science.
100,000 Genomes Project to sequence its 500th genome later this month
6 February 2018
Professor Mark Caulfield spoke to Observer Science Editor Robin McKie about the pioneering work of the 100,000 Genomes Project as it approaches its halfway point.
Multinational companies continue to produce unregulated antibiotics in India
6 February 2018
Millions of unapproved antibiotics are being sold in India, according to a new joint study led by Dr Patricia McGettigan from the William Harvey Research Institute.
The first step in generating an artificial adrenal gland
31 January 2018
In a new study, published in Cell Reports, researchers from Queen Mary University of London used cells derived from urine to take the first step in generating an artificial adrenal gland, which could help develop future treatments for adrenal gland disorders.
Diabetes gene found that causes low and high blood sugar levels in the same family
16 January 2018
A study of families with rare blood sugar conditions has revealed a new gene thought to be critical in the regulation of insulin, the key hormone in diabetes.
New study of critically ill patients in Africa finds that lives could be saved with improvements to hospitals’ emergency and critical care treatments
Queen Mary University of London is playing a key role in major new European research initiative to combat Multi-Drug Resistant Rheumatoid Arthritis (MDR-RA)
Queen Mary researchers awarded new funding for autoimmune disease drug development from the Connect Immune Research Initiative
Positive results from the KARDIA-2 Phase 2 study evaluating Zilebesiran for hypertension treatment have recently been announced
New study shows personalised approach starting with small drug doses adjusted according to progress improved treatment of hypertension during COVID lockdown
New study shows genes can predict response to arthritis treatment and paves the way for future drug development
Queen Mary researcher awarded funding for research project which aims to develop safer drugs for autoimmune diseases
Unvaccinated individuals with heart problems up to 9 times more likely to die or suffer serious complications from COVID-19