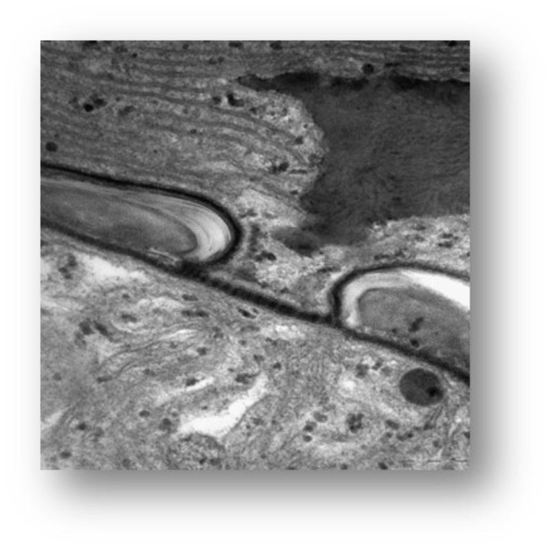
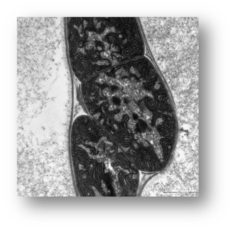
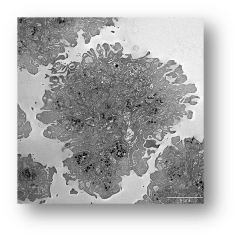
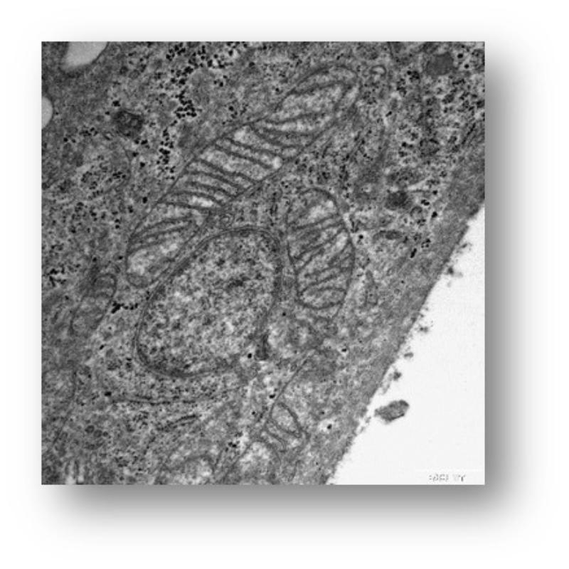
Jeol JEM 1230 TEM

Transmission Electron Microscope mainly operated at 80 kV but can operate up to 120kV. It is equipped with Morada CCD camera and iTEM software.
It is mainly used for 2D imaging of biological and bio-engeneering material.
Costs
Price per hour : £25
Price O/N :
Contact details
Facility : SBCS TEM facility
Campus : Mile End
Address : School of Biological and Chemical Sciences, 3rd Floor, GE Fogg building, Mile End Campus, London E1 4NS
Manager : Giulia Mastroianni
Contact : 020 7882 5034